7 weeks and 4 days
There wasn't that much to see during our first ultrasound. The baby (well, technically it was still an embryo) didn't move yet, but we did get to see a tiny little heart flickering away. The baby was about 1.5 centimeters at this point.
11 weeks and 4 days
This ultrasound was scheduled only four short weeks after the first one, but look at the difference! While the baby still looked like a bean before, it's actually a tiny little human right now!
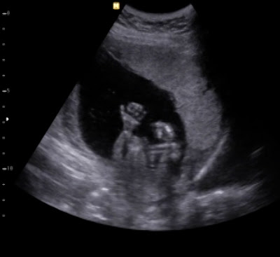
16 weeks and 2 days
This was the non-medical ultrasound. It lasted about 15 minutes and we got the entire "movie" on dvd, so we have tons of pictures, both in 2D and 3D. I made these pictures a bit smaller than usual because I think some of the detail is lost when I enlarge the photos.
![]() |
| Tiny hands and feet. |
![]() |
| Open mouth. :) |
20 weeks and 4 days
We only got two pictures, one of which was a blurry shot of the spinal cord... We did get to watch the baby for a long time because it was just us and a medical student for the first 20 minutes. Then the obstetrician came in and checked the organs, the torso and limbs, the head, the upper lip, etc. Everything was a-okay!
What's next?
Early October I have a 24-week prenatal visit at my GP's and my next medical ultrasound (the 28-week one) will actually only take place when I'm 29 weeks and 4 days along, somewhere mid-November. We also want to get another non-medical ultrasound to really see the baby's facial features and we've heard that it's best to plan this when you're 25-27 weeks along, because the baby has somewhat fuller cheeks by then and doesn't look as "alien" anymore. I'm not sure when exactly we'll schedule this, though. I think I'm just going to call the agency and see what they suggest.
Sooo. What do you think? We've made one hell of a pretty baby, right? :)















I change my mind. Ik denk dat t een meisje is.
ReplyDeleteDude, ik kwam hier net hetzelfde posten! Op basis van de foto's zeg ik nu ook: meisje. En nu maar hopen dat het geen jongentje is of je mag deze comments nog komen wissen. ;)
ReplyDelete